下面这位呢?是一位非常爱美的女士。(部分图片丢失请见谅)因前牙散在间隙来诊。曾经来我院咨询过三次,下不了决心,同时也担心修复后的美观问题。

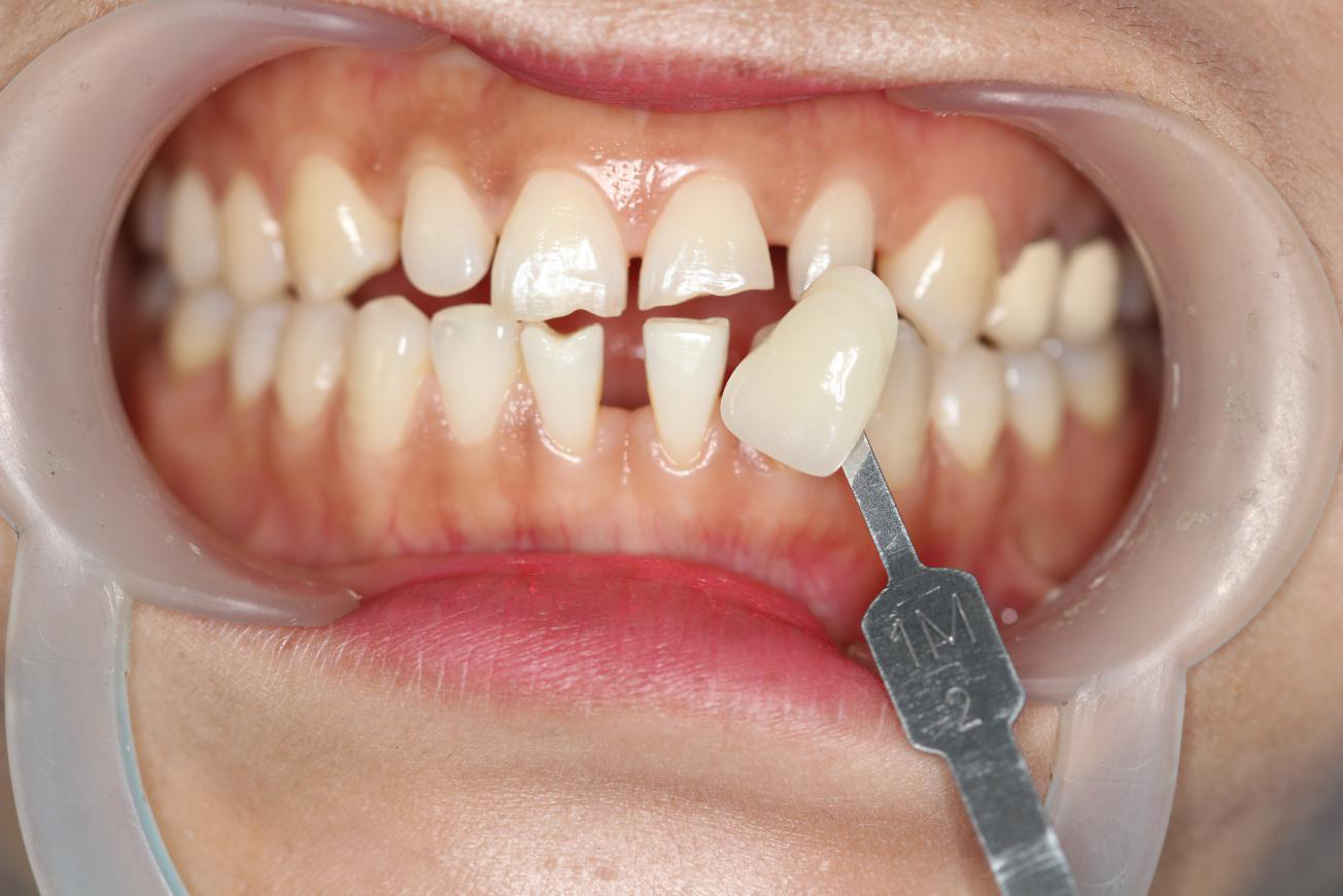
持谨慎态度,患者先修复上颌切牙。比色中。。。


部分牙体预备图片丢失
******次修复试戴。。。

形成鲜明对比,患者言辞当中不仅上颌比较满意,更多的诉求放到了下颌牙上。为了慎重,做了个简易诊断模型。

这是上下前牙同时修复后的效果。。。




秋天的美是成熟的——它不像春那么羞涩,夏那么坦露,冬那么内向。秋天的美是理智的——它不像春那么妩媚,夏那么火热,冬那么含蓄。

门诊地址:兴县医院对面
服务时间:8:00-18:00
联系人:135-9343-9392 王医生
联系人:187-0340-1267 王护士